主页 > 性病学术 > 艾滋病
-
艾滋病能治好吗
得了艾滋病必须尽快及时正确的治疗才能够取得比较好的预后,我们医院对艾滋病的治疗很多年,病死的很少,很多...
-
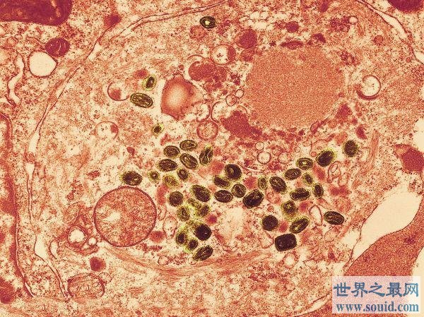
人类未解之谜——艾滋病毒来自何方?
沃罗贝博士经过多方采集样本和分析后发现那些黑猩猩体内确实存在一种以前不知道的病毒,他们把这种病毒叫做猴免疫缺陷病毒。他们绘制了这种病毒的基因图谱后发现,这种病毒和艾滋病毒相差甚远
-
艾滋 国办印发遏制防治艾滋病“十三五”行动计划
逐步提高感染者和病人生存质量,不断减少社会歧视,将我国艾滋病疫情继续控制在低流行水平。
-
世界艾滋病日 | 男男性行为者每100人中约8人感染HIV!男性如何保护自己
在大多数人的印象里,提起艾滋病传播途径,第一个想到就是异性性行为,实际上,近年来,男男性行为正在成为传染艾滋病的“重灾区”,男男同性恋人群值得重点关注。
-
青白江区开展2020年“世界艾滋病日”暨艾滋病检测咨询月集中宣传活动
艾滋病活动启动仪式上,区委常委、宣传部长王欣进行了致辞,并对艾滋病防治工作提出了要求;活动中区委社治委常务副主任戚玉静,区卫健局党组书记、局长李显荣为初高中学生防艾演讲比赛获奖者授奖
-
艾滋 粤艾滋病60岁以上高年龄组病例占比呈增长趋势
今年12月1日是第33个“世界艾滋病日”。记者从广东举行的“世界艾滋病日”宣传活动上获悉,今年1月至10月该省新报告艾滋病病毒感染者和艾滋病病人7741例,比去年同期减少12
-
与艾滋病患者发生关系后,小伙连夜阻断!专家:两类人需重点防控
“我是艾滋病患者我还能生小孩吗?”“我服药之后有点反胃是为什么呢?”12月1日上午,在长沙市第一医院南院HIV门诊里,多位艾滋病患者整齐地坐在大厅里
-
世界上10大最恐怖的病毒,第一让近数亿人死亡,艾滋病仅第五
1、天花病毒:天花病毒是由欧洲殖民者带到美洲大陆的,传染性非常强,感染后会出现严重的严重毒血症状。100年间美洲大陆上1亿的人口,减少至不足1000万。其恐怖性让人们不得不忌惮
-
艾滋的潜伏期让人捉摸不透?这6个其实就是暗号
虽然说现在的医学水平有很大的提高,一些疾病能够得到有效的控制,但是也存在着一些疾病,不能够被完全治愈,比如说艾滋病,艾滋病是临床上十分常见的传染性疾病,这种传染性疾病危害程度高。出现之后容易破坏人的免疫系统,将淋巴细胞作为主要的攻击目标,淋巴细胞受到破坏时免疫功能持续下降,各种不良症状就会出现。因此
-
梅毒案例:如何判断自己是否患了梅毒
梅毒几乎都是由于亲密接触一期或二期梅毒损害(硬下疳、黏膜斑、扁平湿疣)而被传染的,本文将通过一个梅毒案例,一位患者的求助来介绍如何判断自己是否患梅毒。
-
二期梅毒皮肤上会起疙瘩和脓疱吗
二期梅毒患者出现斑疹后约3周在身体多个部位就会出现疙瘩皮疹,造成较高的误诊率。那么今天我们就来了解一下二期梅毒皮肤会发生什么样的疙瘩和脓疱。
-
哪些人群必须进行艾滋病检测
艾滋病毒是人类的头号大敌,理想状态,每个人都需要定期做艾滋病检测,这是有效预防艾滋病毒传播的关健所在,但由于种种条件的限制,暂时无法做到这一点。艾滋病的传播途径有三种,分别是性途径传播、血液途径传播、母婴传播,因此,以下高危人群将需要做艾滋病检测。

